Jangan Abaikan! Ini 7 Penyakit Kulit yang Sering Terjadi dan Cara Penanganannya
Jangan Abaikan! Ini 7 Penyakit Kulit yang Sering Terjadi dan Cara Penanganannya-Foto: net -
PAGARALAMPOS.COM – Penyakit kulit adalah gangguan kesehatan yang menyerang bagian terluar tubuh, yakni kulit. Kondisi ini dapat dipicu oleh berbagai hal, seperti infeksi, alergi, peradangan, hingga faktor genetik.
Masalah pada kulit bisa berlangsung sementara atau berkembang menjadi kondisi jangka panjang, dengan tingkat keparahan yang beragam, mulai dari ringan hingga serius.
Untuk membantu pemulihan, penting menggunakan obat sesuai rekomendasi tenaga medis serta memilih produk perawatan yang sesuai dengan jenis kulit.
Jenis Penyakit Kulit yang Perlu Diketahui
Berikut beberapa jenis gangguan kulit yang umum dialami:
1. Eksim
Eksim ditandai dengan kulit kering, gatal, kemerahan, dan mudah mengalami iritasi. Kondisi ini sering disebut sebagai dermatitis atopik dan biasanya muncul sejak masa kanak-kanak, namun dapat berlanjut hingga usia dewasa.
BACA JUGA:Nikmati Masa Tua dengan Tenang! Ini 5 Desain Rumah Desa Fungsional yang Bikin Hidup Lebih Santai
Perawatan yang tepat, seperti penggunaan sabun yang lembut tanpa pewangi, dapat membantu meredakan keluhan dan menjaga kelembapan kulit.
2. Herpes
Herpes merupakan infeksi akibat virus herpes simplex yang umumnya muncul sebagai lepuhan di sekitar bibir atau mulut.
Gejalanya biasanya mereda dalam beberapa minggu. Menjaga kebersihan area yang terinfeksi serta menggunakan obat antivirus sesuai anjuran dokter dapat mempercepat penyembuhan.
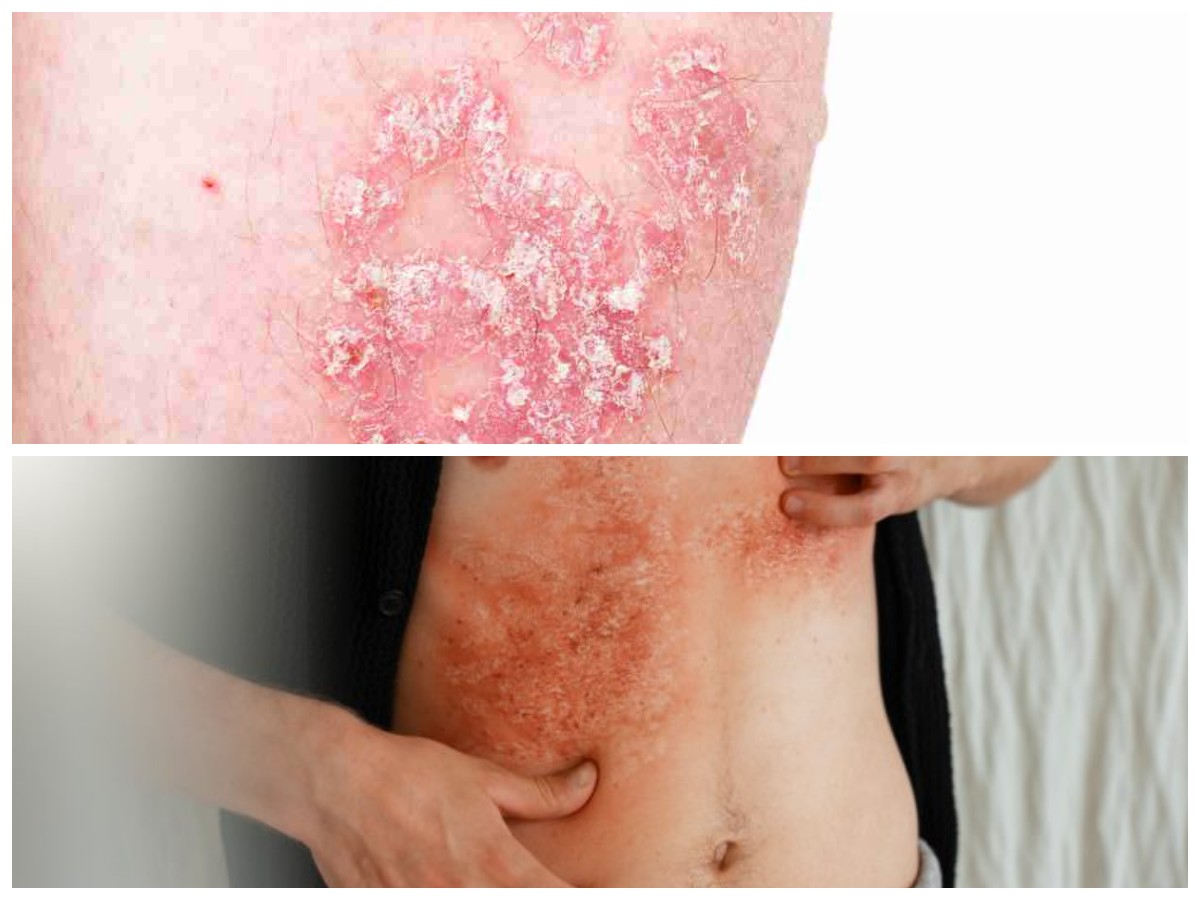
3. Psoriasis
Psoriasis adalah penyakit autoimun yang menyebabkan munculnya bercak merah tebal dan bersisik pada kulit, sering disertai rasa gatal atau perih.
Cek Berita dan Artikel lainnya di Google News
Sumber:
