Penyebab Panu dan Cara Mencegahnya Yuk Simak!
Penyebab Panu dan Cara Mencegahnya Yuk Simak!-Pagaralampos-kolase
PAGARALAMPOS.COM - Panu disebabkan oleh pertumbuhan jamur di kulit.
Jamur ini biasanya hidup di kulit manusia, tetapi bisa berkembang secara berlebihan.
Hal ini lebih mudah terjadi pada orang yang tinggal di daerah dengan udara lembap, termasuk Indonesia.
Ada beberapa hal lain yang bisa memperparah pertumbuhan jamur, sehingga menyebabkan panu.
BACA JUGA: 6 Penyebab Mata Ikan dan Cara Mengatasinya yang Efektif!
Mempelajari penyebab atau faktor yang memicu bisa membantu mencegah panu.
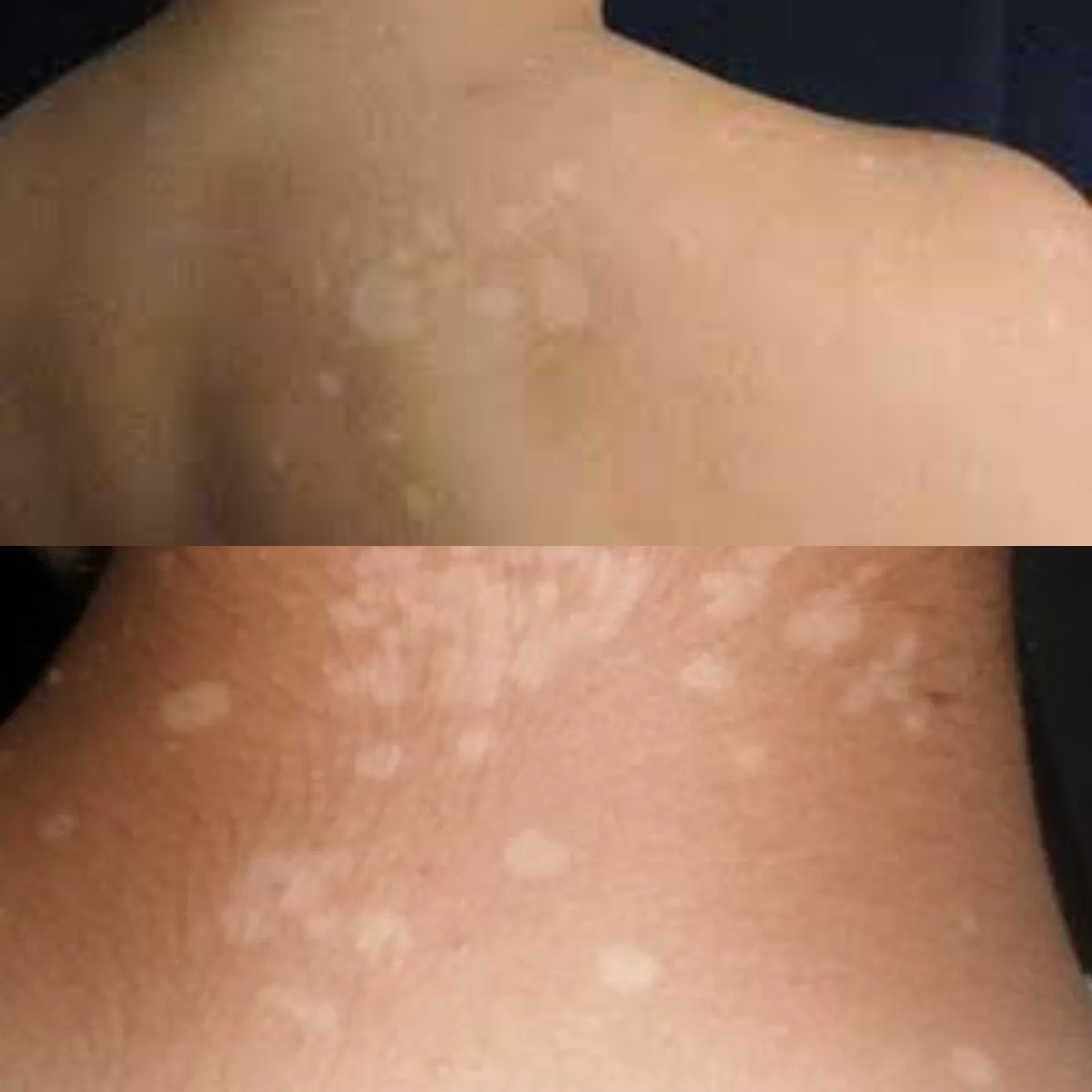
Panu adalah jenis infeksi kulit yang disebabkan oleh jamur.
Jamur penyebab panu adalah jenis jamur yang biasa hidup di kulit, yaitu jamur Malassezia.
Namun, ketika jamur ini tumbuh terlalu banyak, maka akan muncul perubahan warna pada kulit, yang merupakan gejala utama panu.
BACA JUGA:Wajib Diketahui 7 Penyebab Mata Bintitan dan Cara Mengatasinya!
Bercak yang muncul biasanya lebih terang atau lebih gelap dibandingkan kulit sekitarnya.
Bercak panu umumnya muncul di area dada atau punggung. Daerah ini memiliki kelenjar minyak yang lebih banyak, sehingga memudahkan pertumbuhan jamur.
Penyebab Panu
Beberapa orang berpikir bahwa mandi langsung setelah tubuh berkeringat bisa menyebabkan panu.
Padahal, tubuh yang masih basah dan lembap justru bisa memicu tumbuhnya jamur penyebab panu.
Selain keringat yang tidak segera dikeringkan, ada beberapa faktor lain yang bisa memicu pertumbuhan jamur, yaitu:
- Tinggal di tempat dengan iklim panas atau lembap
- Kulit berminyak
- Perubahan hormon
- Sistem kekebalan tubuh menurun
- Mengalami kondisi medis tertentu, seperti hiperhidrosis
BACA JUGA:Buah Nanas: Kandungan dan Manfaatnya untuk Kesehatan yang Wajib Anda Tahu!
Selain faktor-faktor di atas, faktor genetik juga bisa memengaruhi terjadinya panu.
Cek Berita dan Artikel lainnya di Google News
Sumber:
