Rahasia Mengembalikan Kesehatan Gigi Berlubang dengan Bahan Alami di Rumah!
Rahasia Mengembalikan Kesehatan Gigi Berlubang dengan Bahan Alami di Rumah!-Foto: net -
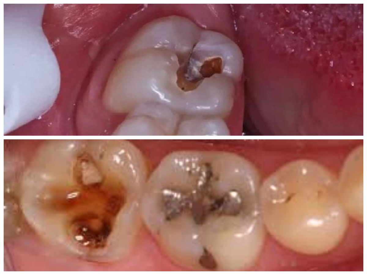
PAGARALAMPOS.COM - Rasa nyeri akibat gigi berlubang sering kali membuat seseorang sulit beraktivitas dengan nyaman.
Jika dibiarkan tanpa perawatan, kerusakan pada gigi bisa berkembang menjadi infeksi serius dan bahkan menyebabkan gigi copot.
Namun, sebelum mendapatkan perawatan dari dokter, kamu bisa mencoba beberapa cara alami untuk meredakan keluhan sementara di rumah.
Penyebab dan Cara Mengatasi Gigi Berlubang
Gigi berlubang umumnya muncul akibat penumpukan bakteri di dalam mulut yang menghasilkan asam.
Zat asam inilah yang perlahan-lahan merusak lapisan pelindung gigi (email) hingga menimbulkan lubang. Semakin besar lubangnya, rasa nyeri pun semakin parah.
Langkah paling tepat tentu dengan berkonsultasi ke dokter gigi agar bagian yang rusak dapat dibersihkan dan ditambal.
BACA JUGA: Kegunaan Cacing Tanah dan Manfaatnya untuk Kesehatan serta Lingkungan!
Namun, jika rasa sakit datang mendadak dan kamu belum sempat ke dokter, beberapa metode alami berikut bisa menjadi pertolongan pertama.
1. Kompres Dingin dengan Es Batu
Metode sederhana ini cukup ampuh meredakan rasa nyeri. Bungkus beberapa potong es batu dengan kain bersih, lalu tempelkan pada pipi di sisi gigi yang sakit selama beberapa menit. Suhu dingin membantu menenangkan saraf dan mengurangi pembengkakan.
Ulangi beberapa kali sehari hingga rasa sakit berkurang. Jika tidak ada es, kamu juga bisa berkumur dengan air dingin.
2. Menggunakan Cengkeh
Cengkeh memiliki kandungan eugenol, senyawa alami yang bersifat antinyeri dan antiradang. Kamu bisa meneteskan sedikit minyak cengkeh ke kapas, lalu tempelkan pada gigi yang berlubang selama beberapa detik. Jika tidak memiliki minyak cengkeh, kunyah satu butir cengkeh utuh di area yang sakit. Namun, hindari penggunaan berlebihan karena bisa menyebabkan iritasi pada gusi.
Cek Berita dan Artikel lainnya di Google News
Sumber:
